
We perform thorough exams and take necessary x-rays to help evaluate your oral health. Our expert hygienists and doctors will clean your teeth and gums to remove plaque, calculus, and bacteria.

We perform most dental surgeries and can gently remove teeth when they are non-restorable or painful.

Gum health is directly related to systemic health, so if your gums have increased inflammation or bone loss, we can perform deep cleanings and other therapies to help get you back to optimal oral health.

If you are afraid of the dentist, sedation dentistry is a great option! Sedation helps patients relax as we perform their treatment. During all sedation appointments, we monitor your vitals closely to ensure the highest levels of safety.

We have the capability to take digital intraoral impressions using our scanner that utilies specialized cameras to take 3D images. We can send files digitally to the lab which uses CAD/CAM technology to fabricate precise restorations for our patients with unparalleled accuracy.

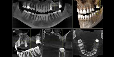
We have the latest in 3D low dose x-ray technology (Cone Beam Computed Tomography) that allows us to visualize areas like never before. This provides increased diagnostic and treatment planning capabilities.

When teeth decay and require a conservative restoration, we provide tooth colored fillings using the latest dental composites for great looking and functioning restorations.

Larger cavities and areas of missing tooth structure require full coverage restorations. Crowns and bridges are a great option for restoring these broken down teeth or replacing a missing tooth.

Dentures and partials help patients with missing teeth look and function great. For even greater strength and chewing ability dental implants can be used to help secure dentures much better than traditional gum tissue supported options.

Utilizing the highest quality strong dental ceramics we can improve a smile dramatically with conservative preparation and modern bonding protocols.

Dental implants are the best replacement for missing teeth. If properly cared for, they can last a lifetime. They can replace single teeth, multiple tooth spans, or even a complete set of upper or lower teeth.

Whitening is a safe and effective way to brighten your smile. There are several options that we can tailor to your specific needs. Ask about it at your next cleaning!

Using our state of the art CO2 laser, we can perform frenectomies and tongue tie removal procedures in office. The laser promotes healing and reduces post operative discomfort compared to traditional scalpel methods.

We have the latest generation of CO2 lasers in our office so we can perform gingivectomies and other surgeries in a more comfortable setting.

Utilizing digital modeling and CAD/CAM software we can 3D print models, night guards, dentures, and more!